

深海所分析測試中心激光掃描共聚焦顯微鏡FV3000試運行通知
文章來源:分析測試中心 | 發布時間:2019-11-19 | 【打印】 【關閉】
深海所分析測試中心已配備激光掃描共聚焦顯微鏡FV3000,該儀器位于綜合樓120實驗室,儀器配置高端倒置顯微鏡、高靈敏光譜檢測單元、4個激光器;具有大視野多圖掃描拼接、多點掃描、三維圖像重建、高分辨快速動態成像、熒光強度分析等功能。
為更好的維護管理、更有效的進行資源分配,本套共聚焦顯微鏡實行合理收費服務及使用。即日起,FV3000試運行兩個月,試運行期間實行免費試用,試運行結束至正式收費標準公示前,實行半價收費,正式收費標準以公示通告為準。

激光掃描共聚焦顯微鏡FV3000整機圖片
主要配置
1.本系統激光波長(nm):405、448、561、640
2.掃描單元:常規Galvo振鏡+高速Resonant振鏡
3.倒置熒光萬能顯微鏡,配備物鏡:1.25X、10X、20X、40X、60X(油鏡)、100X(油鏡)、 30X硅油鏡
4.載物臺配備多種適配器:載玻片適配器、多孔板適配器、培養皿適配器
應用范圍
細胞生物學、生物化學、藥理學、生理學、發育生物學、遺傳學和組胚學、微生物學和寄生蟲學、免疫學、環境醫學和營養學等,如:組織切片、細胞的熒光標記、三維圖像重建分析研究;活體樣本高速掃描;細胞生物物質、離子的定性、定量、定時和定位分布檢測,可在同一樣品上同時進行多重熒光標記觀察;巖石、沉積物薄片、人工合成包裹體等的形貌觀察。
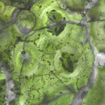
典型案例圖片

巖石包裹體化石

松花粉萌發切片
分析測試中心簡介:
中科院深海所分析測試中心是為深海所內各深海科學與工程研究實驗室提供分析測試服務的大型儀器共享平臺,同時也為所外研究機構及高校提供測試服務。分析測試中心通過整合所內各學科的大型分析測試儀器資源,實行統一運行、維護與管理,以提高大型儀器利用效率。測試中心以為研究所提供優質的分析測試服務為宗旨;以提供高質量的公正、客觀、準確的分析測試結果為目標。內部實行嚴格的質量管理,并制定一整套科學、規范的質量保證體系和規章制度,以保證測試結果的客觀、準確。
目前,測試中心一期建設建成有高性能并行計算機處理平臺,可滿足各學科超算需求; 購置有同位素比質譜分析儀(IR-MS)、電感耦合等離子體發射光譜儀(ICP-OES)、場發射透射電鏡(TEM)、X-射線衍射儀(XRD)和激光掃描共聚焦顯微鏡(LSCM)等大型儀器及多類實驗小型儀器,可滿足氣體同位素分析、元素分析、微區形貌、晶相表征及光譜分析等實驗需求。更多大型儀器正在購置中。
所外研究機構及高校申請使用請聯系:
聯系人:孫老師
聯系方式:shy@idsse.ac.cn ,0898-88239505

Copyright © 中國科學院深海科學與工程研究所 備案證號:瓊ICP備13001552號-1
瓊公網安備 46020102000014號
地址: 三亞市鹿回頭路28號 郵編:572000 網站維護:深海所辦公室 郵箱:office@idsse.ac.cn